Safer Contrast-Enhanced MRI
with 80% Less Gadolinium

DeepMeds' DeepGAD™ synthesizes full-dose equivalent images from only 20% dose—reducing patient risk, cost, and environmental burden

Prospective Clinical Study
Provisional Utility Patent Pending (US)
PACS & OEM Integration-Ready

Clinical Performance

Validated results from our prospective reader study with expert radiologists

80%
GBCA Dose Reduction
From ~15 ml to ~3 ml per brain MRI scan
Non-inferior
Diagnostic Performance
vs. full-dose on reader study (n=101)
86% ±12
SSIM Score
Structural similarity index
27 ±3 dB
PSNR
Peak signal-to-noise ratio

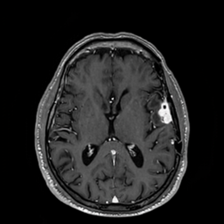
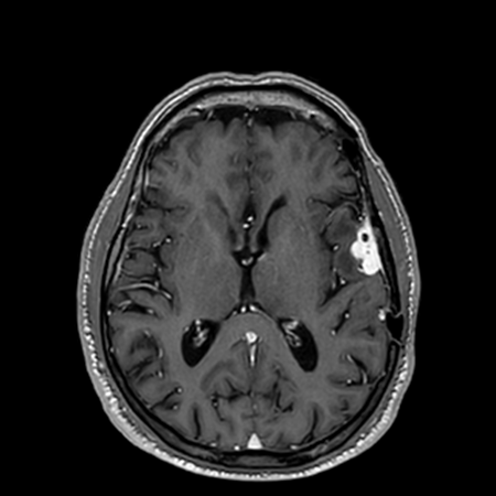
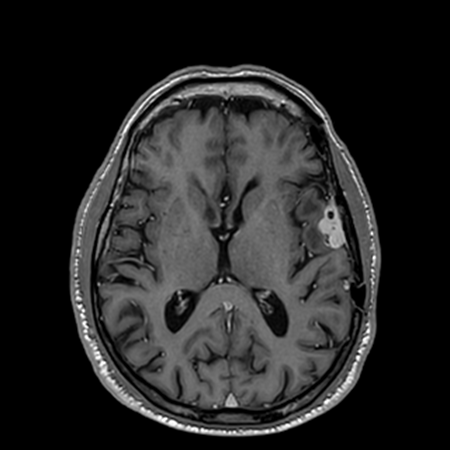
See the Difference

Compare the visual quality of our AI-enhanced images against traditional full-dose scans

AI-Enhanced

AI-Enhanced

DeepGAD™ synthesized

Patient Safety

Reduced gadolinium exposure minimizes long-term retention risks

Cost Savings

Up to 80% reduction in contrast agent costs per exam

Sustainability

Significant reduction in environmental gadolinium impact

Ready to Transform Your MRI Workflow?

Join leading health systems and OEMs in the clinical evaluation of DeepGAD™

Loading DeepMeds...